
Invisalign® + Whitening
Patient case using Invisalign® and some in-office whitening with Zoom!

Composite
Patient had some recession and abrasion causing some dark notches along the gumline. We were able to add some composite to make these areas prettier and reduce sensitivity!

Composite + Brightening
Patient had chipping and staining between her front two teeth. We were able to do some brightening and added some composite to look very natural in her smile!

Composite
Patient had some recession and abrasion that we were able to restore with some beautiful composite!

Smile Makeover
This patient was very unhappy with the deterioration of her teeth. She was thrilled when we were able to make her smile look like it did in photos from decades before!

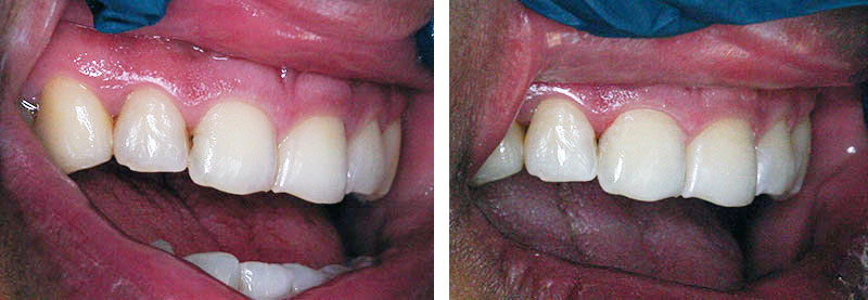
Crowns + Fillings
This patient had several teeth fixed with crowns and fillings that were different colors and getting stained at different rates. She is so happy with her new matching smile!

Fillings
Even small black spots can be very noticeable in between our front teeth. We were able to make this little cavity a distant memory!

Smile Makeover
This patient had several crowns completed years ago and was never quite happy with the alignment and color of her smile. We were able to work with a great local lab (Advance Dental Technologies in Stoneham) to create a beautiful, natural look that fits so much better in her smiling face!